Telegrama Telegrama
Telegrama Telegrama
  • Eveniment
  • Externe

SUA, undă verde pentru folosirea rachetelor cu rază lungă de acţiune de către Ucraina

Telegrama Externe 18 Noiembrie 2024

A murit Bela Karolyi, legendarul antrenor al Nadiei Comăneci

Telegrama Externe 17 Noiembrie 2024

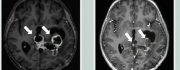
Diagnosticarea cancerului cu ajutorul AI poate dura doar 10 secunde

Telegrama Externe 15 Noiembrie 2024

Alţi doi cetăţeni români au fost identificaţi ca fiind decedaţi în urma inundaţiilor din Spania. Bilanţul românilor care şi-au pierdut viaţa a ajuns la nouă

Ana Maria IENE Externe 15 Noiembrie 2024

Spania, lovită de noi furtuni. În Malaga străzile au fost acoperite de ape. Alerte de ploi și în Valencia

Telegrama Externe 14 Noiembrie 2024

ONU: Sportul, factor de dezvoltare durabilă şi de pace

Telegrama Externe 13 Noiembrie 2024

Patru tineri au murit blocați într-o mașină Tesla care a luat foc în urma unui accident cumplit

Telegrama Externe 13 Noiembrie 2024

Inedit! Regele Charles şi religia ortodoxă, într-o scrisoare publicată de ziarul The Times

Telegrama Externe 12 Noiembrie 2024

MAE: Încă trei români daţi dispăruţi în urma inundaţiilor din Valencia au fost găsiţi decedaţi

Ana Maria IENE Externe 10 Noiembrie 2024
  • Spania: Alţi doi cetăţeni români daţi dispăruţi în urma inundaţiilor din Valencia, identificaţi ca fiind decedaţi
    Telegrama Externe 09 Noiembrie 2024
  • Studiu britanic. Europa încă nu este suficient de bine înarmată pentru a se putea apăra
    Telegrama Externe 08 Noiembrie 2024
  • O americancă de origine română a fost aleasă în Camera Reprezentanților din Texas. Mihaela Pleșa reprezintă Partidul Democrat
    Telegrama Externe 06 Noiembrie 2024
  • VIDEO 🎦 Primul mesaj al lui Donald Trump, după alegerile din SUA. „Vreau să mulțumesc poporului american pentru că m-a ales al 47-lea președinte. Va fi o epocă de aur”
    Andrei Costache Externe 06 Noiembrie 2024
  • “Hop on board to România”, mesajul prin care ţara noastră este promovată în Regatul Unit al Marii Britanii
    Telegrama Externe 06 Noiembrie 2024
  • Cel puţin 89 de persoane sunt date dispărute în urma inundaţiilor din estul Spaniei. 133 dintre persoanele decedate au fost identificate
    Telegrama Externe 06 Noiembrie 2024
  • MAE confirmă moartea a doi români în urma inundațiilor din Valencia. Alți șapte sunt dispăruți
    Ioana Stroe Externe 06 Noiembrie 2024
  • IKEA va plăti 6 milioane de euro prizonierilor est-germani forţaţi să-i construiască mobilierul
    Telegrama Externe 05 Noiembrie 2024
  • Alegeri în SUA. Americanii decid cine va fi următorul președinte al Statelor Unite ale Americii
    Telegrama Externe 05 Noiembrie 2024
  • Europenii au nevoie să fie pregătiţi să poată face faţă unei crize majore, arată un raport prezentat Comisiei Europene de fostul președinte finlandez
    Telegrama Externe 04 Noiembrie 2024
  • PREV
  • 46
  • 47
  • 48
  • 49
  • 50
  • 51
  • 52
  • 53
  • 54
  • 55
  • NEXT
Image
Image
Image
Image
Image
Image
Image
Image
Back To Top
© 2026 Telegrama. All Rights Reserved. Design & Developed by MWD
  • Politica de Confidentialitate
  • Termeni si Conditii
  • Politica de utilizare cookies
  • Home
  • Regional
  • Actualitate
  • Politica
  • Administratie
  • Social
  • Sport
  • Exclusiv
  • Video
  • Anunturi
  • Contact
  • Arhiva